This product was discontinued; sorry for the inconvenience. We recommend the following: Cat.# A52202.
BackgroundThe protein encoded by this gene is a secreted chaperone that can under some stress conditions also be found in the cell cytosol. It has been suggested to be involved in several basic biological events such as cell death, tumor progression, and neurodegenerative disorders. Alternate splicing results in both coding and non-coding variants.
DescriptionCLU Polyclonal Antibody. Unconjugated. Raised in: Rabbit.
FormulationBuffer: PBS with 0.02% sodium azide, 50% glycerol, pH7.3.
SpecificityHuman, Mouse, Rat
IsotypeIgG
Uniprot IDP10909
PurificationAffinity Purification
ImmunogenRecombinant fusion protein containing a sequence corresponding to amino acids 220-449 of human CLU (NP_976084.1).
StorageShipped at 4°C. Upon receipt, store at -20°C. Avoid freeze / thaw cycles
Alternative NamesCLU; AAG4; APO-J; APOJ; CLI; CLU1; CLU2; KUB1; NA1/NA2; SGP-2; SGP2; SP-40; TRPM-2; TRPM2; clusterin
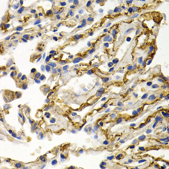
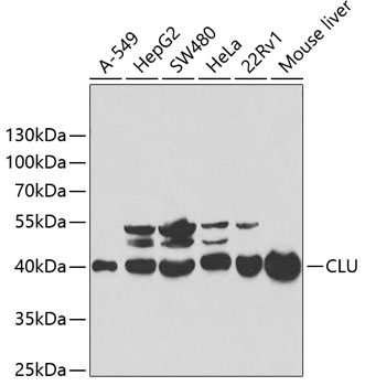
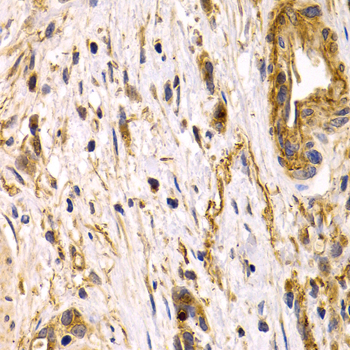
ApplicationWB, IHC; Recommended dilution: WB: 1:500-1:2000, IHC: 1:50-1:200