Please see "Related Products" for an equivalent antibody.
BackgroundThe protein encoded by this gene is part of a complex that relieves repressive chromatin structures, allowing the transcriptional machinery to access its targets more effectively. The encoded nuclear protein may also bind to and enhance the DNA joining activity of HIV-1 integrase. This gene has been found to be a tumor suppressor, and mutations in it have been associated with malignant rhabdoid tumors. Alternatively spliced transcript variants have been found for this gene.
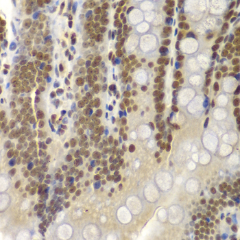
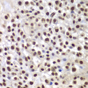
DescriptionSMARCB1 Polyclonal Antibody. Unconjugated. Raised in: Rabbit.
FormulationBuffer: PBS with 0.02% sodium azide, 50% glycerol, pH7.3.
SpecificityHuman, Mouse, Rat
IsotypeIgG
Uniprot IDQ12824
PurificationAffinity Purification
ImmunogenRecombinant fusion protein containing a sequence corresponding to amino acids 77-376 of human SMARCB1 (NP_001007469.1).
StorageShipped at 4°C. Upon receipt, store at -20°C. Avoid freeze / thaw cycles
Alternative NamesSMARCB1; BAF47; CSS3; INI1; MRD15; PPP1R144; RDT; RTPS1; SNF5; SNF5L1; SWNTS1; Sfh1p; Snr1; hSNFS; SWI/SNF-related matrix-associated actin-dependent regulator of chromatin subfamily B member 1
ApplicationWB, IHC, IF; Recommended dilution: WB 1:500 - 1:2000, IHC 1:50 - 1:200, IF 1:50 - 1:200