BackgroundThe protein encoded by this gene is part of a complex that relieves repressive chromatin structures, allowing the transcriptional machinery to access its targets more effectively. The encoded nuclear protein may also bind to and enhance the DNA joining activity of HIV-1 integrase. This gene has been found to be a tumor suppressor, and mutations in it have been associated with malignant rhabdoid tumors. Two transcript variants encoding different isoforms have been found for this gene.
DescriptionSMARCB1 Polyclonal Antibody. Unconjugated. Raised in: Rabbit.
FormulationBuffer: PBS with 0.02% sodium azide, 50% glycerol, pH7.3.
SpecificityHuman, Mouse, Rat
IsotypeIgG
Uniprot IDQ12824
PurificationAffinity Purified
ImmunogenA synthetic peptide corresponding to a sequence within amino acids 50-150 of human SMARCB1/SNF5 (NP_003064.2)
StorageShipped at 4°C. Upon receipt, store at -20°C. Avoid freeze / thaw cycles
Alternative NamesRDT, INI1, SNF5, Snr1, BAF47, MRD15, RTPS1, Sfh1p, hSNFS, SNF5L1, SWNTS1
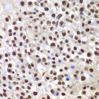
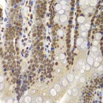
ApplicationWB, IHC, IF, IP