This product was discontinued; sorry for the inconvenience. We recommend the following: Cat.# A54125.
BackgroundThis gene encodes a protein that is a member of the mucin family. Mucins are high molecular weight, O-glycosylated proteins that play an important role in forming a protective mucous barrier, and are found on the apical surfaces of the epithelia. The encoded protein is a membrane-tethered mucin that contains an extracellular domain at its amino terminus, a large tandem repeat domain, and a transmembrane domain with a short cytoplasmic domain. The amino terminus is highly glycosylated, while the repeat region contains 156 amino acid repeats unit that are rich in serines, threonines, and prolines. Interspersed within the repeats are Sea urchin sperm protein Enterokinase and Agrin (SEA) modules, leucine-rich repeats and ankyrin (ANK) repeats. These regions together form the ectodomain, and there is a potential cleavage site found near an SEA module close to the transmembrane domain. This protein is thought to play a role in forming a barrier, protecting epithelial cells from pathogens. Products of this gene have been used as a marker for different cancers, with higher expression levels associated with poorer outcomes.
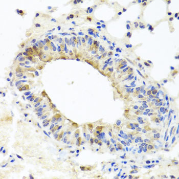
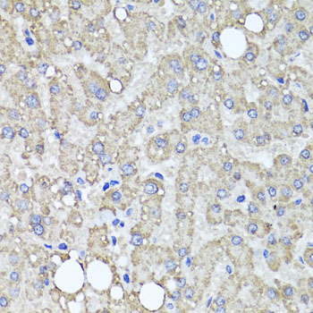
DescriptionMUC16 Polyclonal Antibody. Unconjugated. Raised in: Rabbit.
FormulationBuffer: PBS with 0.02% sodium azide, 50% glycerol, pH7.3.
SpecificityHuman, Mouse, Rat
IsotypeIgG
Uniprot IDQ8WXI7
PurificationAffinity Purification
ImmunogenRecombinant fusion protein containing a sequence corresponding to amino acids 13965-14064 of human MUC16 (NP_078966.2).
StorageShipped at 4°C. Upon receipt, store at -20°C. Avoid freeze / thaw cycles
Alternative NamesMUC16; CA125; mucin-16
ApplicationWB, IHC; Recommended dilution: WB: 1:500-1:2000, IHC: 1:50-1:200