BackgroundThis gene encodes an integral membrane protein that is a member of the kinectin protein family. The encoded protein is primarily localized to the endoplasmic reticulum membrane. This protein binds kinesin and may be involved in intracellular organelle motility. This protein also binds translation elongation factor-delta and may be involved in the assembly of the elongation factor-1 complex. Alternate splicing results in multiple transcript variants of this gene.
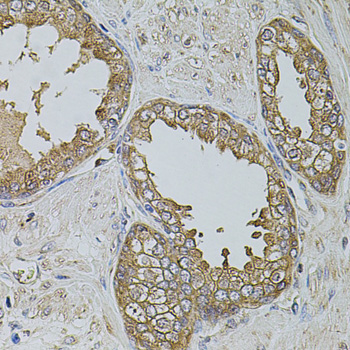
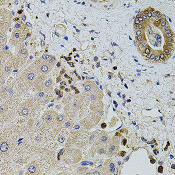
DescriptionKTN1 Polyclonal Antibody. Unconjugated. Raised in: Rabbit.
FormulationBuffer: PBS with 0.02% sodium azide, 50% glycerol, pH7.3.
SpecificityHuman
IsotypeIgG
Uniprot IDQ86UP2
PurificationAffinity Purification
ImmunogenA synthetic peptide corresponding to a sequence within amino acids 1-100 of human KTN1 (NP_001072989.1).
StorageShipped at 4°C. Upon receipt, store at -20°C. Avoid freeze / thaw cycles
Alternative NamesKTN1; CG1; KNT; MU-RMS-40.19; kinectin
ApplicationWB, IHC; Recommended dilution: WB 1:500 - 1:2000, IHC 1:50 - 1:200