This product was discontinued; sorry for the inconvenience. We recommend the following: Cat.# A70604.
BackgroundThe enzyme encoded by this gene is a multifunctional protein. Its main function is to catalyze the synthesis of palmitate from acetyl-CoA and malonyl-CoA, in the presence of NADPH, into long-chain saturated fatty acids. In some cancer cell lines, this protein has been found to be fused with estrogen receptor-alpha (ER-alpha), in which the N-terminus of FAS is fused in-frame with the C-terminus of ER-alpha.
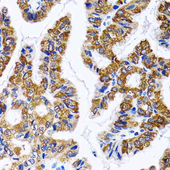
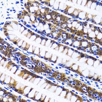
DescriptionFatty Acid Synthase Polyclonal Antibody. Unconjugated. Raised in: Rabbit.
FormulationBuffer: PBS with 0.02% sodium azide, 50% glycerol, pH7.3.
SpecificityHuman
IsotypeIgG
Uniprot IDP49327
PurificationAffinity Purification
ImmunogenRecombinant fusion protein containing a sequence corresponding to amino acids 2212-2511 of human Fatty Acid Synthase (NP_004095.4).
StorageShipped at 4°C. Upon receipt, store at -20°C. Avoid freeze / thaw cycles
Alternative NamesFASN; FAS; OA-519; SDR27X1; fatty acid synthase
ApplicationWB, IHC, IF, IP; Recommended dilution: WB 1:500 - 1:2000, IHC 1:50 - 1:100, IF 1:50 - 1:200, IP 1:50 - 1:100