BackgroundPlays a role in the recruitment of the RNA exosome complex to pre-rRNA to mediate the 3'-5' end processing of the 5. 8S rRNA; this function may include MPHOSPH6. Can activate PRKDC not only in the presence of linear DNA but also in the presence of supercoiled DNA. Can induce apoptosis in a p53/TP53 dependent manner. May regulate the TRAX/TSN complex formation. Potentiates transcriptional repression by NR1D1 and THRB.
DescriptionC1D Polyclonal Antibody. Unconjugated. Raised in: Rabbit.
Formulation0.03% Proclin 300, 50% Glycerol, 0.01M PBS, PH 7.4
SpecificityHuman
IsotypeIgG
Uniprot IDQ13901
PurificationProtein G purified
ImmunogenRecombinant Human Nuclear nucleic acid-binding protein C1D protein (1-135AA)
StorageShipped at 4°C. Upon delivery aliquot and store at -20°C (short-term) or -80°C (long-term). Avoid repeated freeze.
Alternative NameshC1D, C1D
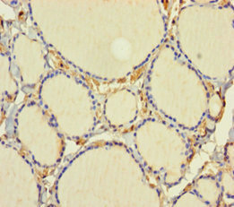
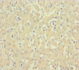
ApplicationELISA, WB, IHC, IF; Recommended dilution: WB:1:2000-1:10000, IHC:1:50-1:500, IF:1:500-1:1000