BackgroundSuppresses apoptosis in a variety of cell systems including factor-dependent lymphohematopoietic and neural cells. Regulates cell death by controlling the mitochondrial membrane permeability. Appears to function in a feedback loop system with caspases. Inhibits caspase activity either by preventing the release of cytochrome c from the mitochondria and/or by binding to the apoptosis-activating factor (APAF-1). May attenuate inflammation by impairing NLRP1-inflammasome activation, hence CASP1 activation and IL1B release.
DescriptionBCL2 Recombinant Monoclonal Antibody [2C6]. Unconjugated. Raised in: HEK293F Cell.
FormulationBuffer: Rabbit IgG in phosphate buffered saline, pH 7.4, 150mM NaCl, 0.02% sodium azide and 50% glycerol.
SpecificityHuman, Mouse, Rat
IsotypeRabbit IgG
Uniprot IDP10415
PurificationAffinity Chromatography
ImmunogenA synthesized peptide
StorageUpon receipt, store at -20°C or -80°C. Avoid repeated freeze.
Alternative NamesApoptosis regulator Bcl-2, BCL2
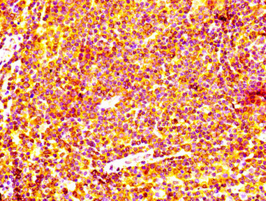
ApplicationELISA, WB, IHC, FC; Recommended dilution: WB:1:500-1:5000, IHC:1:50-1:500