BackgroundUbiquitin is a small regulatory protein that has been found in almost all tissues of eukaryotic organisms. The ubiquitin protein consists of 76 amino acids and has a molecular mass of approximately 8.5 kDa. This protein’s main features include a C-terminal tail and the 7 Lys residues. Ubiquitin is highly conserved among all eukaryotic species. Remarkably, human ubiquitin shares nearly the same sequence identity (96%) as yeast ubiquitin. The primary function of this protein is to get rid of foreign, abnormal, and improperly folded proteins by targeting them for degradation via the 26S proteasome. The addition of ubiquitin to a substrate protein is called ubiquitination. Ubiquitination is an important cellular process affected by a multi-enzyme cascade. These enzymes include ubiquitin-activating enzymes (E1s), ubiquitin-conjugating enzymes (E2s), and ubiquitin-protein ligases (E3s). Ubiquitination affects proteins in various ways: it can signal for their degradation via the proteasome, change their cellular location, affect their activity, and promote or prevent protein interactions. Ubiquitination is carried out in three main steps: activation, conjugation, and ligation, performed by E1s, E2s, and E3s respectively. The consequence of this cascade binds ubiquitin to lysine residues on the protein substrate using an isopeptide bond, or it may bind the amino group of the protein's N-terminus using a peptide bond. The protein modifications can be either a single ubiquitin protein (monoubiquitination) or a chain of ubiquitin (polyubiquitination). In addition, ubiquitin has been found to participate in regulating signal transduction cascades through the elimination inhibitor proteins.
DescriptionRabbit polyclonal antibody to Ubiquitin
FormulationLiquid. 1*TBS (pH7.4), 0.5%BSA, 40%Glycerol. Preservative: 0.05% Sodium Azide.
ImmunogenPeptide
SpecificityHuman, Mouse, Rat
IsotypeIgG
PurificationPeptide affinity purified
StorageStore at 4°C after thawing. Aliquot store at -20°C or -80°C. Avoid multiple freeze/thaw cycles.
ApplicationIHC, WB: (1:1000-1:2000), ICC: (1:200)
JHB0002
Fig. 1. Western blot analysis on cell lysates using Ubiquitin Polyclonal Antibodies.
Fig. 2. ICC staining ubiquitin in MCF-7 cells (green). Cells were fixed in paraformaldehyde, permeabilised with 0.25% Triton X100/PBS.
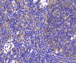
Fig. 3. Immunohistochemical analysis of paraffin-embedded human tonsil tissue using Ubiquitin Polyclonal Antibody. Counter stained with hematoxylin.