BackgroundThe Drosophila embryonic protein snail is a zinc finger transcriptional repressor which downregulates the expression of ectodermal genes within the mesoderm. The nuclear protein encoded by this gene is structurally similar to the Drosophila snail protein, and is also thought to be critical for mesoderm formation in the developing embryo. At least two variants of a similar processed pseudogene have been found on chromosome 2.
DescriptionSNAI1 Polyclonal Antibody. Unconjugated. Raised in: Rabbit.
FormulationBuffer: PBS with 0.02% sodium azide, 50% glycerol, pH7.3.
SpecificityHuman, Mouse, Rat
IsotypeIgG
Uniprot IDO95863
PurificationAffinity Purified
ImmunogenRecombinant fusion protein containing a sequence corresponding to amino acids 1-264 of human Snail (O95863)
StorageShipped at 4°C. Upon receipt, store at -20°C. Avoid freeze / thaw cycles
Alternative NamesSNAI1; SLUGH2; SNA; SNAH; SNAIL; SNAIL1; dJ710H13.1; zinc finger protein SNAI1
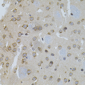
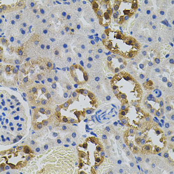
ApplicationWB, IHC