This product was discontinued; sorry for the inconvenience. We recommend the following: Cat.# A54479.
BackgroundThe protein encoded by this gene is a member of the parathyroid hormone family. This hormone, via its receptor, PTHR1, regulates endochondral bone development and epithelial-mesenchymal interactions during the formation of the mammary glands and teeth. It is responsible for most cases of humoral hypercalcemia of malignancy, and mutations in this gene are associated with brachydactyly type E2 (BDE2). Alternatively spliced transcript variants have been found for this gene. There is also evidence for alternative translation initiation from non-AUG (CUG and GUG) start sites, downstream of the initiator AUG codon, resulting in nuclear forms of this hormone.
DescriptionPTHLH Polyclonal Antibody. Unconjugated. Raised in: Rabbit.
FormulationBuffer: PBS with 0.02% sodium azide, 50% glycerol, pH7.3.
SpecificityHuman
IsotypeIgG
Uniprot IDP12272
PurificationAffinity Purification
ImmunogenRecombinant fusion protein containing a sequence corresponding to amino acids 74-130 of human PTHLH (NP_945316.1).
StorageShipped at 4°C. Upon receipt, store at -20°C. Avoid freeze / thaw cycles
Alternative NamesPTHLH; BDE2; HHM; PLP; PTHR; PTHRP; parathyroid hormone like hormone
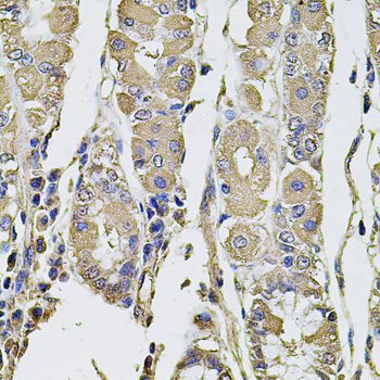
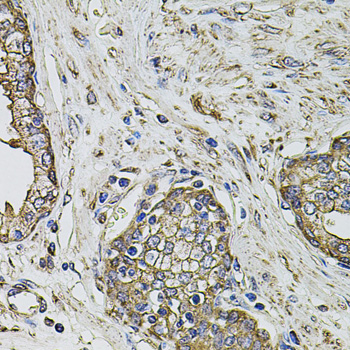
ApplicationWB, IHC; Recommended dilution: WB 1:500 - 1:2000, IHC 1:50 - 1:200