This product was discontinued; sorry for the inconvenience. We recommend the following: Cat.# A55351.
BackgroundThis gene encodes a secreted member of the phospholipase A2 family, and is found in a cluster of related family members on chromosome 1. Phospholipase A2 family members hydrolyze the sn-2 fatty acid ester bond of glycerophospholipids to produce lysophospholipids and free fatty acid. This gene may be involved in inflammation and immune response, and in weight loss associated with chronic obstructive pulmonary disease. Alternative splicing results in multiple transcript variants encoding different isoforms.
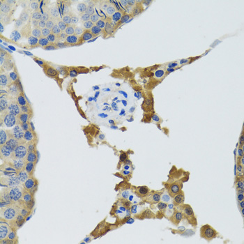
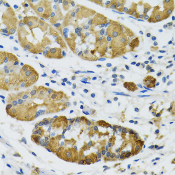
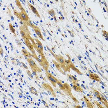
DescriptionPLA2G2D Polyclonal Antibody. Unconjugated. Raised in: Rabbit.
FormulationBuffer: PBS with 0.02% sodium azide, 50% glycerol, pH7.3.
SpecificityHuman, Mouse, Rat
IsotypeIgG
Uniprot IDQ9UNK4
PurificationAffinity Purification
ImmunogenRecombinant fusion protein containing a sequence corresponding to amino acids 21-145 of human PLA2G2D (NP_036532.1).
StorageShipped at 4°C. Upon receipt, store at -20°C. Avoid freeze / thaw cycles
Alternative NamesPLA2G2D; PLA2IID; SPLASH; sPLA2-IID; sPLA2S; phospholipase A2 group IID
ApplicationWB, IHC, IF; Recommended dilution: WB 1:500 - 1:2000, IHC 1:50 - 1:200, IF 1:10 - 1:100