BackgroundHSP90 is a molecular chaperone that assists in the maturation, regulation, and maintenance of specific target proteins involved in cell cycle control and signal transduction. It undergoes a functional cycle driven by ATPase activity, leading to conformational changes in client proteins and their activation. Dynamic interaction with co-chaperones influences substrate recognition and chaperone function. Various client proteins are engaged through co-chaperones, forming functional chaperone complexes. After completion, properly folded client proteins and co-chaperones exit HSP90. Besides chaperoning, it also impacts transcription regulation at multiple levels. It counters STUB1-mediated TGF-beta signaling inhibition, aids cell differentiation, and plays a role in STAT1 activation. Additionally, it participates in leaderless cargo translocation to ERGIC.
DescriptionHSP90AB1 Recombinant Monoclonal Antibody [7G7]. Unconjugated. Raised in: HEK293F Cell.
FormulationBuffer: Rabbit IgG in phosphate buffered saline, pH 7.4, 150mM NaCl, 0.02% sodium azide and 50% glycerol.
SpecificityHuman
IsotypeRabbit IgG
Uniprot IDP08238
PurificationAffinity Chromatography
ImmunogenA synthesized peptide derived from human HSP90AB1
StorageUpon receipt, store at -20°C or -80°C. Avoid repeated freeze.
Alternative NamesHeat shock protein HSP 90-beta (HSP 90) (Heat shock 84 kDa) (HSP 84) (HSP84), HSP90AB1, HSP90B HSPC2 HSPCB
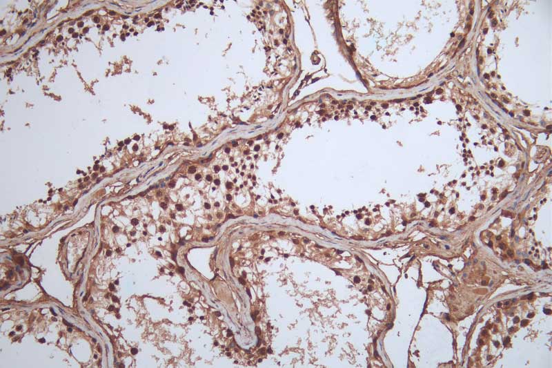
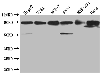
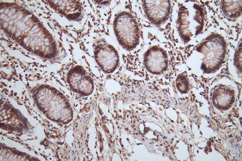
ApplicationELISA, WB, IHC, IF, FC; Recommended dilution: WB:1:500-1:2000, IHC:1:50-1:200, IF:1:50-1:200, FC:1:50-1:200