BackgroundVariant histone H3 which replaces conventional H3 in a wide range of nucleosomes in active genes. Constitutes the predominant form of histone H3 in non-dividing cells and is incorporated into chromatin independently of DNA synthesis. Deposited at sites of nucleosomal displacement throughout transcribed genes, suggesting that it represents an epigenetic imprint of transcriptionally active chromatin. Nucleosomes wrap and compact DNA into chromatin, limiting DNA accessibility to the cellular machineries which require DNA as a template. Histones thereby play a central role in transcription regulation, DNA repair, DNA replication and chromosomal stability. DNA accessibility is regulated via a complex set of post-translational modifications of histones, also called histone code, and nucleosome remodeling.
DescriptionHistone H3.3 Recombinant Monoclonal Antibody [4H2]. Unconjugated. Raised in: HEK293F Cell.
FormulationBuffer: Rabbit IgG in phosphate buffered saline, pH 7.4, 150mM NaCl, 0.02% sodium azide and 50% glycerol.
SpecificityHuman
IsotypeRabbit IgG
Uniprot IDP84243
PurificationAffinity Chromatography
ImmunogenA synthesized peptide
StorageUpon receipt, store at -20°C or -80°C. Avoid repeated freeze.
Alternative NamesHistone H3.3, H3F3A, H3.3A, H3F3, PP781, H3F3B, H3.3B
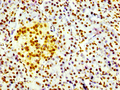
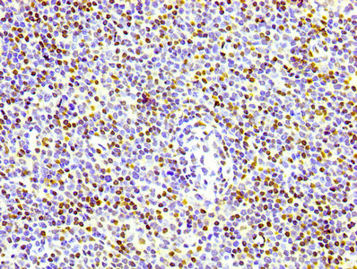
ApplicationELISA, IHC, IF; Recommended dilution: IHC:1:50-1:500, IF:1:30-1:200