BackgroundCore component of nucleosome. Nucleosomes wrap and compact DNA into chromatin, limiting DNA accessibility to the cellular machineries which require DNA as a template. Histones thereby play a central role in transcription regulation, DNA repair, DNA replication and chromosomal stability. DNA accessibility is regulated via a complex set of post-translational modifications of histones, also called histone code, and nucleosome remodeling.
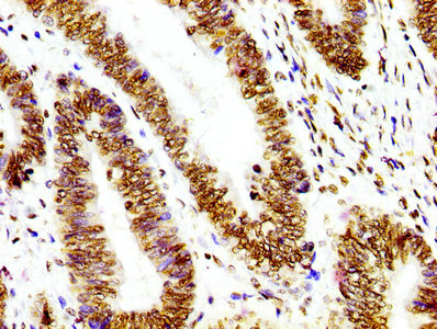
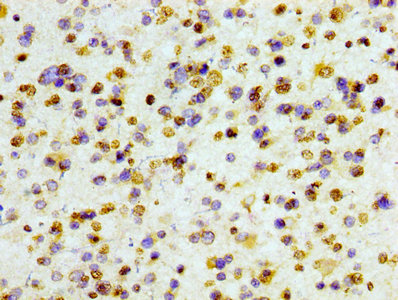
DescriptionHistone H3.1 Monoclonal Antibody, clone RMC418N. Unconjugated. Raised in: Rabbit.
ConcentrationInquire
FormulationLiquid. Rabbit IgG in phosphate buffered saline, pH 7.4, 150mM NaCl, 0.02% sodium azide and 50% glycerol.
SpecificityHuman
Isotype IgG
Uniprot IDP68431
PurificationAffinity Purified
ImmunogenA synthesized peptide
StorageShipped at 4°C. Upon receipt, store at -20°C (short-term) or -80°C (long-term). Avoid repeated freeze.
Alternative NamesHistone H3.1, Histone H3/a, Histone H3/b, Histone H3/c, Histone H3/d, Histone H3/f, Histone H3/h, Histone H3/i, Histone H3/j, Histone H3/k, Histone H3/l, HIST1H3A, H3FA, AND, HIST1H3B, H3FL, AND, HIST1H3C, H3FC, AND, HIST1H3D, H3FB, AND, HIST1H3E, H3FD, AND, HIST1H3F, H3FI, AND, HIST1H3G, H3FH, AND, HIST1H3H, H3FK, AND, HIST1H3I, H3FF, AND, HIST1H3J, H3FJ
ApplicationELISA, WB, IHC, IF, FC; Recommended dilution: WB: 1:500-1:5000, IHC: 1:50-1:500, IF: 1:30-1:200
VCU0006