Please see "Related Products" for an equivalent antibody.
BackgroundThis gene encodes a member of the epidermal growth factor (EGF) receptor family of receptor tyrosine kinases. This protein has no ligand binding domain of its own and therefore cannot bind growth factors. However, it does bind tightly to other ligand-bound EGF receptor family members to form a heterodimer, stabilizing ligand binding and enhancing kinase-mediated activation of downstream signalling pathways, such as those involving mitogen-activated protein kinase and phosphatidylinositol-3 kinase. Allelic variations at amino acid positions 654 and 655 of isoform a (positions 624 and 625 of isoform b) have been reported, with the most common allele, Ile654/Ile655, shown here. Amplification and/or overexpression of this gene has been reported in numerous cancers, including breast and ovarian tumors. Alternative splicing results in several additional transcript variants, some encoding different isoforms and others that have not been fully characterized.
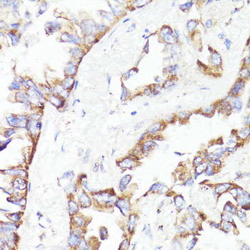
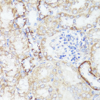
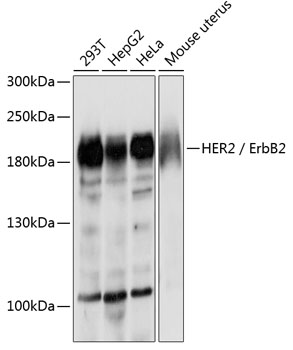
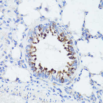
DescriptionHER2/ErbB2 Polyclonal Antibody. Unconjugated. Raised in: Rabbit.
FormulationBuffer: PBS with 0.02% sodium azide, 50% glycerol, pH7.3.
SpecificityHuman, Mouse, Rat
IsotypeIgG
Uniprot IDP04626
PurificationAffinity Purified
ImmunogenA synthetic peptide corresponding to a sequence within amino acids 1160 to the C-terminus of human HER2 / ErbB2 (NP_004439.2).
StorageShipped at 4°C. Store at -20°C. Avoid freeze / thaw cycles.
Alternative NamesERBB2; CD340; HER-2; HER-2/neu; HER2; MLN 19; NEU; NGL; TKR1; erb-b2 receptor tyrosine kinase 2; HER2/ErbB2; ErbB2; MLN19
ApplicationWB, IHC, IF; Recommended dilution: WB 1:500 - 1:2000, IHC 1:50 - 1:100, IF 1:50 - 1:100