BackgroundThis gene encodes a CXC chemokine receptor specific for stromal cell-derived factor-1. The protein has 7 transmembrane regions and is located on the cell surface. It acts with the CD4 protein to support HIV entry into cells and is also highly expressed in breast cancer cells. Mutations in this gene have been associated with WHIM (warts, hypogammaglobulinemia, infections, and myelokathexis) syndrome. Alternate transcriptional splice variants, encoding different isoforms, have been characterized.
DescriptionCXCR4 Polyclonal Antibody. Unconjugated. Raised in: Rabbit.
FormulationBuffer: PBS with 0.02% sodium azide, 50% glycerol, pH7.3.
SpecificityHuman, Mouse, Rat
IsotypeIgG
Uniprot IDP61073
PurificationAffinity Purification
ImmunogenRecombinant fusion protein containing a sequence corresponding to amino acids 1-42 of human CXCR4 (NP_001008540.1).
StorageShipped at 4°C. Upon receipt, store at -20°C. Avoid freeze / thaw cycles
Alternative NamesCXCR4; CD184; D2S201E; FB22; HM89; HSY3RR; LAP-3; LAP3; LCR1; LESTR; NPY3R; NPYR; NPYRL; NPYY3R; WHIM; WHIMS; C-X-C chemokine receptor type 4
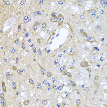
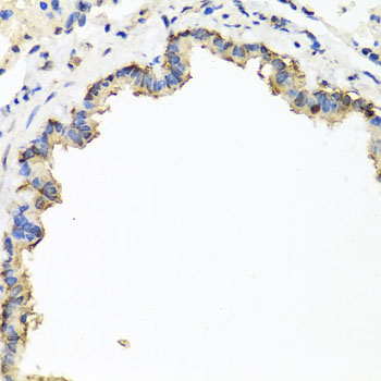
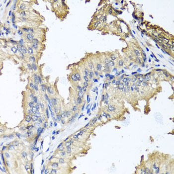
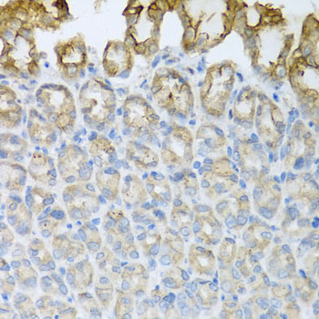
ApplicationWB, IHC; Recommended dilution: WB 1:500 - 1:2000, IHC 1:50 - 1:200