BackgroundCalreticulin 3 is a calcium binding chaperone which promotes folding, oligomeric assembly and quality control in the ER via the calreticulin/calnexin cycle. This lectin may interact transiently with almost all of the monoglucosylated glycoproteins that are synthesized in the ER.
DescriptionCALR Polyclonal Antibody. Unconjugated. Raised in: Rabbit.
Formulation0.03% Proclin 300, 50% Glycerol, 0.01M PBS, PH 7.4
SpecificityHuman
IsotypeIgG
Uniprot IDP27797
PurificationProtein G purified
ImmunogenRecombinant Human Calreticulin protein (18-415AA)
StorageShipped at 4°C. Upon delivery aliquot and store at -20°C (short-term) or -80°C (long-term). Avoid repeated freeze.
Alternative NamesCRT, Calreticulin , CALR, CRTC
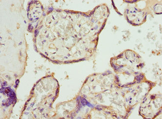
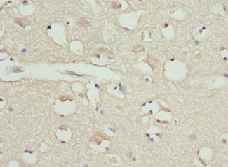
ApplicationELISA, WB, IHC; Recommended dilution: WB:1:500-1:5000, IHC:1:20-1:200