Please see "Related Products" for an equivalent antibody.
BackgroundThis gene encodes a serum protein found in association with the major histocompatibility complex (MHC) class I heavy chain on the surface of nearly all nucleated cells. The protein has a predominantly beta-pleated sheet structure that can form amyloid fibrils in some pathological conditions. The encoded antimicrobial protein displays antibacterial activity in amniotic fluid. A mutation in this gene has been shown to result in hypercatabolic hypoproteinemia.
Descriptionbeta 2 Microglobulin Polyclonal Antibody. Unconjugated. Raised in: Rabbit.
FormulationBuffer: PBS with 0.02% sodium azide, 50% glycerol, pH7.3.
SpecificityHuman, Mouse, Rat
IsotypeIgG
Uniprot IDP61769
PurificationAffinity Purified
ImmunogenRecombinant fusion protein containing a sequence corresponding to amino acids 21-119 of human beta 2 Microglobulin (NP_004039.1).
StorageShipped at 4°C. Store at -20°C. Avoid freeze / thaw cycles.
Alternative NamesB2M; IMD43
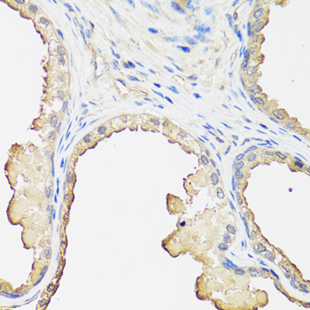
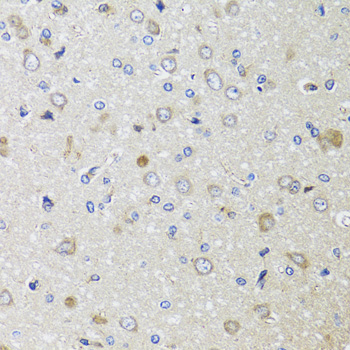
ApplicationWB, IHC, IP; Recommended dilution: WB 1:500 - 1:2000, IHC 1:50 - 1:200, IP 1:50 - 1:100