BackgroundThe protein encoded by this gene belongs to the BCL2 protein family. BCL2 family members form hetero- or homodimers and act as anti- or pro-apoptotic regulators that are involved in a wide variety of cellular activities. This protein forms a heterodimer with BCL2, and functions as an apoptotic activator. This protein is reported to interact with, and increase the opening of, the mitochondrial voltage-dependent anion channel (VDAC), which leads to the loss in membrane potential and the release of cytochrome c. The expression of this gene is regulated by the tumor suppressor P53 and has been shown to be involved in P53-mediated apoptosis. Multiple alternatively spliced transcript variants, which encode different isoforms, have been reported for this gene.
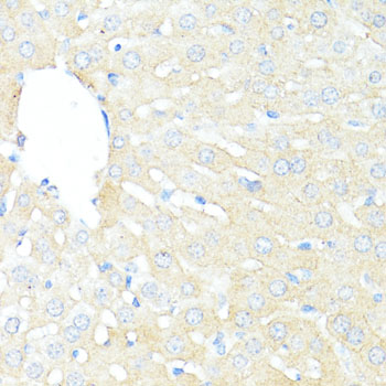
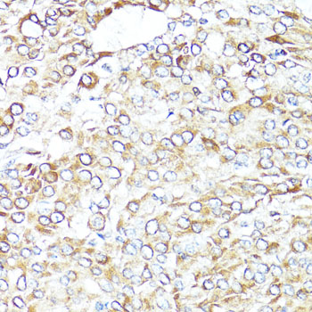
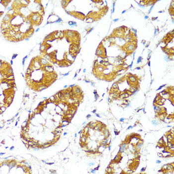
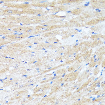
DescriptionBAX Polyclonal Antibody. Unconjugated. Raised in: Rabbit.
FormulationBuffer: PBS with 0.02% sodium azide, 50% glycerol, pH7.3.
SpecificityHuman, Mouse, Rat
IsotypeIgG
Uniprot IDQ07812
PurificationAffinity Purified
ImmunogenA synthetic peptide corresponding to a sequence within amino acids 1-100 of human BAX (NP_620116.1).
StorageShipped at 4°C. Store at -20°C. Avoid freeze / thaw cycles.
Alternative NamesBCL2L4; BAX
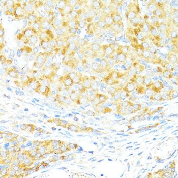
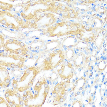
ApplicationWB, IHC, IP; Recommended dilution: WB 1:500 - 1:2000, IHC 1:100 - 1:200, IP 1:50 - 1:200