This product was discontinued; sorry for the inconvenience. We recommend the following: Cat.# A70880.
BackgroundThis gene encodes a member of the serine proteinase inhibitor (serpin) superfamily. This member is the principal inhibitor of tissue plasminogen activator (tPA) and urokinase (uPA), and hence is an inhibitor of fibrinolysis. Defects in this gene are the cause of plasminogen activator inhibitor-1 deficiency (PAI-1 deficiency), and high concentrations of the gene product are associated with thrombophilia. Alternatively spliced transcript variants encoding different isoforms have been found for this gene.
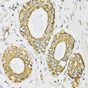
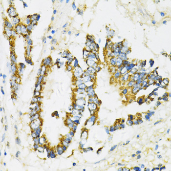
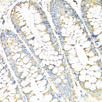
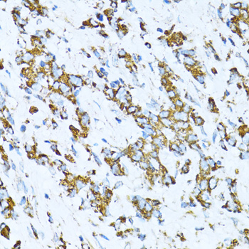
DescriptionSERPINE1 Polyclonal Antibody. Unconjugated. Raised in: Rabbit.
FormulationBuffer: PBS with 0.02% sodium azide, 50% glycerol, pH7.3.
SpecificityHuman
IsotypeIgG
Uniprot IDP05121
PurificationAffinity Purification
ImmunogenRecombinant fusion protein containing a sequence corresponding to amino acids 24-158 of human SERPINE1 (NP_000593.1).
StorageShipped at 4°C. Upon receipt, store at -20°C. Avoid freeze / thaw cycles
Alternative NamesSERPINE1; PAI; PAI-1; PAI1; PLANH1; serpin family E member 1
ApplicationIHC, IF; Recommended dilution: IHC 1:50 - 1:200, IF 1:50 - 1:200