This product was discontinued; sorry for the inconvenience. We recommend the following: Cat.# A60258.
BackgroundThis gene encodes an elastase-specific inhibitor that functions as an antimicrobial peptide against Gram-positive and Gram-negative bacteria, and fungal pathogens. The protein contains a WAP-type four-disulfide core (WFDC) domain, and is thus a member of the WFDC domain family. Most WFDC gene members are localized to chromosome 20q12-q13 in two clusters: centromeric and telomeric. This gene belongs to the centromeric cluster. Expression of this gene is upgulated by bacterial lipopolysaccharides and cytokines.
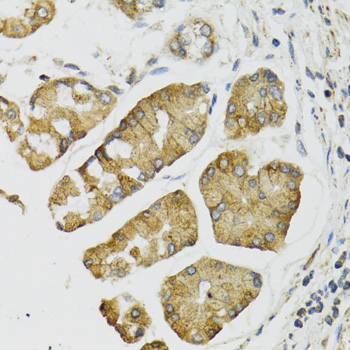
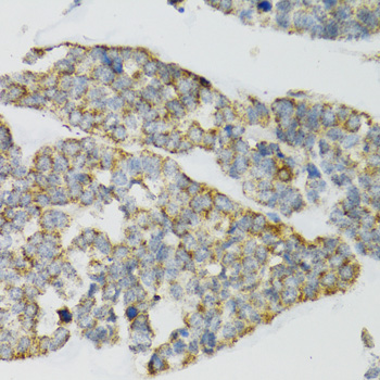
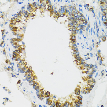
DescriptionPI3 Polyclonal Antibody. Unconjugated. Raised in: Rabbit.
FormulationBuffer: PBS with 0.02% sodium azide, 50% glycerol, pH7.3.
SpecificityHuman, Rat
IsotypeIgG
Uniprot IDP19957
PurificationAffinity Purification
ImmunogenRecombinant fusion protein containing a sequence corresponding to amino acids 23-117 of human PI3 (NP_002629.1).
StorageShipped at 4°C. Upon receipt, store at -20°C. Avoid freeze / thaw cycles
Alternative NamesPI3; ESI; SKALP; WAP3; WFDC14; cementoin; elafin
ApplicationIHC; Recommended dilution: IHC 1:50 - 1:200