BackgroundThis gene encodes a protein that belongs to the serine protease family. The encoded protein contains a type II transmembrane domain, a receptor class A domain, a scavenger receptor cysteine-rich domain and a protease domain. Serine proteases are known to be involved in many physiological and pathological processes. This gene was demonstrated to be up-regulated by androgenic hormones in prostate cancer cells and down-regulated in androgen-independent prostate cancer tissue. The protease domain of this protein is thought to be cleaved and secreted into cell media after autocleavage. Alternatively spliced transcript variants encoding different isoforms have been found for this gene.
DescriptionTMPRSS2 Monoclonal Antibody. Unconjugated. Raised in: Rabbit.
FormulationBuffer: PBS with 0.02% sodium azide,0.05% BSA,50% glycerol,pH7.3.
SpecificityHuman, Mouse, Rat
IsotypeIgG
Uniprot IDO15393
PurificationAffinity Purification
ImmunogenA synthesized peptide derived from human TMPRSS2
StorageShipped at 4°C. Upon receipt, store at -20°C. Avoid freeze / thaw cycles
Alternative NamesTMPRSS2, PP9284, PRSS10, transmembrane protease, serine 2, TMPRSS2, transmembrane protease, serine 2, transmembrane protease serine 2; epitheliasin; serine protease 10
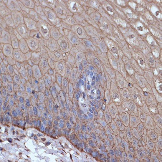
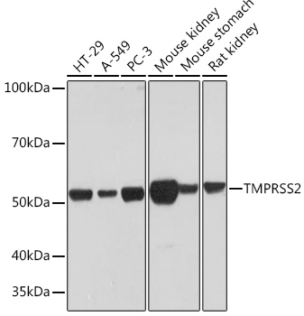
ApplicationWB, IHC; Recommended dilution: WB: 1:500-1:2000, IHC: 1:50-1:200