We recommend our top selling Histone H3 Modification Multiplex Assay Kit to quantify 21 different histone H3 modifications.
BackgroundHistones are basic nuclear proteins that are responsible for the nucleosome structure of the chromosomal fiber in eukaryotes. Nucleosomes consist of approximately 146 bp of DNA wrapped around a histone octamer composed of pairs of each of the four core histones (H2A, H2B, H3, and H4). The chromatin fiber is further compacted through the interaction of a linker histone, H1, with the DNA between the nucleosomes to form higher order chromatin structures. This gene is intronless and encodes a replication-dependent histone that is a member of the histone H3 family. Transcripts from this gene lack polyA tails; instead, they contain a palindromic termination element. This gene is located separately from the other H3 genes that are in the histone gene cluster on chromosome 6p22-p21.3.
DescriptionHistone H3K36me3 (H3K36 Trimethyl) Polyclonal Antibody. Unconjugated. Raised in: Rabbit.
FormulationBuffer: PBS with 0.02% sodium azide,50% glycerol, pH7.3.
SpecificityBroad Range, Mouse, Rat, Human
IsotypeIgG
Uniprot IDQ16695/P68431
PurificationAffinity Purified
ImmunogenA synthetic peptide corresponding to a sequence within amino acids 1-100 of human histone H3 (NP_003520.1).
StorageShipped at 4°C. Store at -20°C. Avoid multiple freeze/thaw cycles.
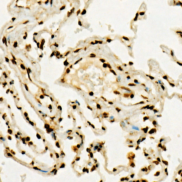
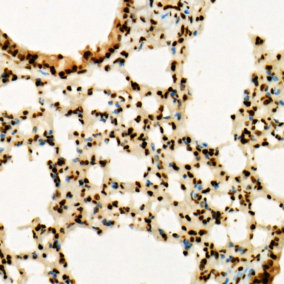
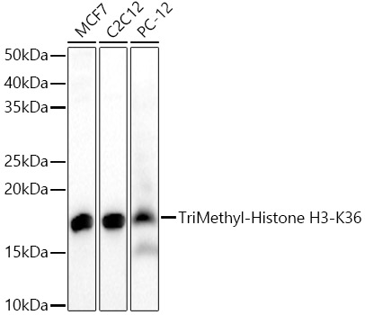
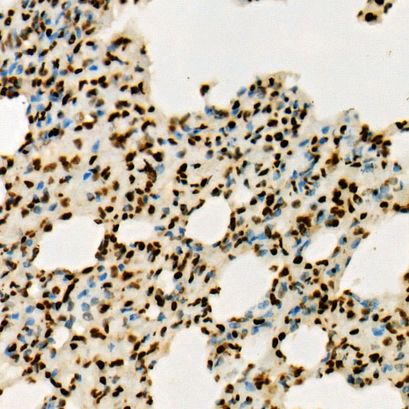
ApplicationWB, IHC, IF/ICC, ChIP, ChIPseq, DB, ELISA; Recommended dilution: WB 1:500 - 1:1000, IHC 1:50 - 1:200, IF/ICC 1:50 - 1:200, ChIP 5μg antibody for 5μg-10μg of Chromatin, CHIPseq 1:20 - 1:100, DB 1:500 - 1:2000, ELISA - recommended starting concentration is 1 μg/mL. Please optimize the concentration based on your specific assay requirements.