BackgroundFurin is likely to represent the ubiquitous endoprotease activity within constitutive secretory pathways and capable of cleavage at the RX(K/R)R consensus motif.
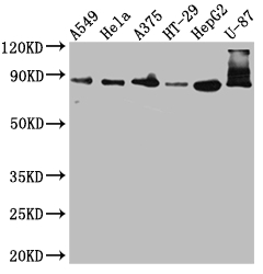
DescriptionFURIN Recombinant Monoclonal Antibody [1C3]. Unconjugated. Raised in: HEK293F Cell.
FormulationBuffer: Rabbit IgG in phosphate buffered saline, pH 7.4, 150mM NaCl, 0.02% sodium azide and 50% glycerol.
SpecificityHuman
IsotypeRabbit IgG
Uniprot IDP09958
PurificationAffinity Chromatography
ImmunogenA synthesized peptide derived from human Furin
StorageUpon receipt, store at -20°C or -80°C. Avoid repeated freeze.
Alternative NamesFurin (EC 3.4.21.75) (Dibasic-processing enzyme) (Paired basic amino acid residue-cleaving enzyme) (PACE), FURIN, FUR PACE PCSK3
ApplicationELISA, WB, IHC; Recommended dilution: WB:1:500-1:5000, IHC:1:50-1:200