BackgroundThis gene encodes a member of a family of serine/threonine protein kinases that participate in cell cycle regulation. The encoded protein is the catalytic subunit of the cyclin-dependent protein kinase complex, which regulates progression through the cell cycle. Activity of this protein is especially critical during the G1 to S phase transition. This protein associates with and regulated by other subunits of the complex including cyclin A or E, CDK inhibitor p21Cip1 (CDKN1A), and p27Kip1 (CDKN1B). Alternative splicing results in multiple transcript variants.
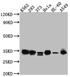
DescriptionCDK2 Recombinant Monoclonal Antibody [6A5]. Unconjugated. Raised in: HEK293F Cell.
FormulationBuffer: Rabbit IgG in phosphate buffered saline, pH 7.4, 150mM NaCl, 0.02% sodium azide and 50% glycerol.
SpecificityHuman, Mouse
IsotypeRabbit IgG
Uniprot IDP24941
PurificationAffinity Chromatography
ImmunogenA synthesized peptide derived from human Cdk2
StorageUpon receipt, store at -20°C or -80°C. Avoid repeated freeze.
Alternative NamesCyclin-dependent kinase 2 (EC 2.7.11.22) (Cell division protein kinase 2) (p33 protein kinase), CDK2, CDKN2
ApplicationELISA, WB, IHC; Recommended dilution: WB:1:500-1:5000, IHC:1:50-1:200