BackgroundThis gene encodes a multifunctional protein that binds ubiquitin and regulates activation of the nuclear factor kappa-B (NF-kB) signaling pathway. The protein functions as a scaffolding/adaptor protein in concert with TNF receptor-associated factor 6 to mediate activation of NF-kB in response to upstream signals. Alternatively spliced transcript variants encoding either the same or different isoforms have been identified for this gene. Mutations in this gene result in sporadic and familial Paget disease of bone.
DescriptionSQSTM1/p62 Polyclonal Antibody. Unconjugated. Raised in: Rabbit.
FormulationBuffer: PBS with 0.02% sodium azide, 50% glycerol, pH7.3.
SpecificityHuman, Mouse, Rat
IsotypeIgG
Uniprot IDQ13501
PurificationAffinity Purified
ImmunogenRecombinant fusion protein containing a sequence corresponding to amino acids 1-440 of human SQSTM1 / p62 (NP_001135770.1)
StorageShipped at 4°C. Store at -20°C. Avoid freeze / thaw cycles.
Alternative NamesSQSTM1; A170; DMRV; FTDALS3; NADGP; OSIL; PDB3; ZIP3; p60; p62; p62B
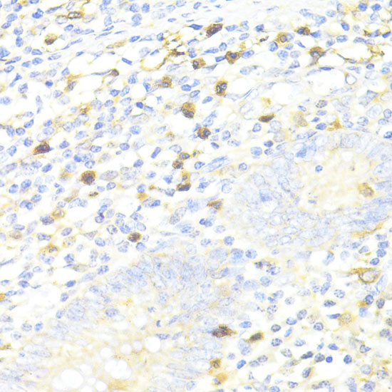
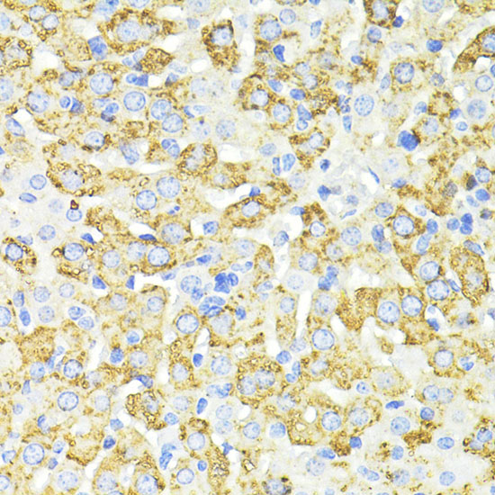
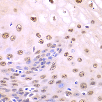
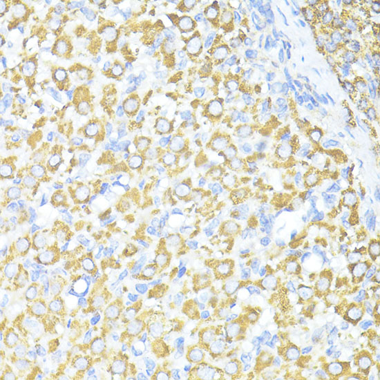
ApplicationWB, IHC, IF, IP; Recommended dilution: WB 1:500 - 1:2000, IHC 1:50 - 1:100, IF 1:50 - 1:100, IP 1:20 - 1:50