BackgroundThis gene product belongs to the 14-3-3 family of proteins which mediate signal transduction by binding to phosphoserine-containing proteins. This highly conserved protein family is found in both plants and mammals, and this protein is 100% identical to the mouse ortholog. It interacts with CDC25 phosphatases, RAF1 and IRS1 proteins, suggesting its role in diverse biochemical activities related to signal transduction, such as cell division and regulation of insulin sensitivity. It has also been implicated in the pathogenesis of small cell lung cancer. Two transcript variants, one protein-coding and the other non-protein-coding, have been found for this gene.
DescriptionYWHAE Polyclonal Antibody. Unconjugated. Raised in: Rabbit.
FormulationBuffer: PBS with 0.01% thiomersal, 50% glycerol, pH7.3.
SpecificityHuman, Mouse, Rat
IsotypeIgG
Uniprot IDP62258
PurificationAffinity Purification
ImmunogenRecombinant fusion protein containing a sequence corresponding to amino acids 1-255 of human YWHAE (NP_006752.1).
StorageShipped at 4°C. Upon receipt, store at -20°C. Avoid freeze / thaw cycles
Alternative NamesYWHAE; 14-3-3E; HEL2; KCIP-1; MDCR; MDS; 14-3-3 protein epsilon
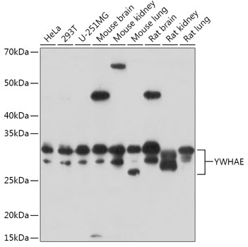
ApplicationWB, IF, ELISA; Recommended dilution: WB: 1:500-1:2000, IF:1:50-1:200, ELISA - recommended starting concentration is 1 μg/mL. Please optimize the concentration based on your specific assay requirements.