BackgroundAdapter protein implicated in the regulation of a large spectrum of both general and specialized signaling pathways. Binds to a large number of partners, usually by recognition of a phosphoserine or phosphothreonine motif. Binding generally results in the modulation of the activity of the binding partner.
DescriptionYWHAE Polyclonal Antibody. Unconjugated. Raised in: Rabbit.
Formulation0.03% Proclin 300, 50% Glycerol, 0.01M PBS, PH 7.4
SpecificityHuman, Mouse
IsotypeIgG
Uniprot IDP62258
PurificationProtein G purified
ImmunogenRecombinant Human 14-3-3 protein epsilon protein (1-255AA)
StorageShipped at 4°C. Upon delivery aliquot and store at -20°C (short-term) or -80°C (long-term). Avoid repeated freeze.
Alternative Names14-3-3E, YWHAE
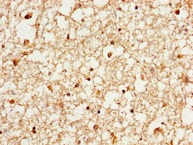
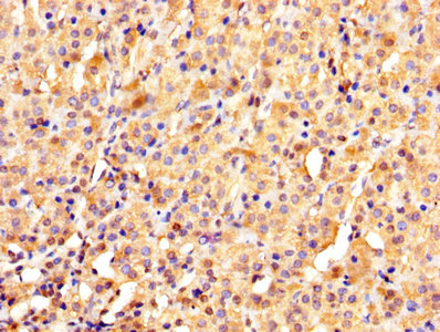
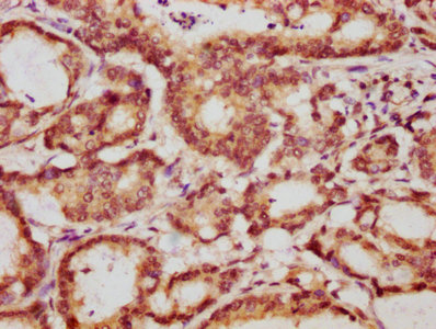
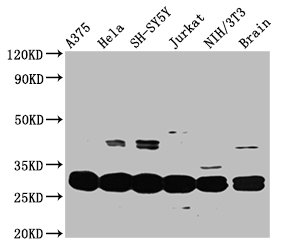
ApplicationELISA, WB, IHC, IF; Recommended dilution: WB:1:500-1:5000, IHC:1:1000-1:2000, IF:1:200-1:500