BackgroundSFN, also known as 14-3-3 s, is a secreted adaptor protein that can regulate signaling pathways - both general and specific. 14-3-3 proteins regulate a number of cellular processes associated with cancer, particularly apoptosis, mitogenic signaling and cell-cycle checkpoints. This protein is expressed primarily in stratified squamous keratinising epithelium and is able to bind and modify the activity of many proteins by recognizing a phosphothreonine or phosphoserine motif. This protein can upregulate protein synthesis and cell growth, thereby stimulating the Akt/mTOR signaling pathway when it is bound to Keratin 17. In addition, SFN (or 14-3-3 s) can positively mediate IGF-I-induced cell cycle progression and bind to a various translation initiation factors, hence regulating mitotic translation. SFN positively regulates the tumor suppressor p53 and enhances the rate of p53-regulated inhibition of G2/M cell cycle progression. Alternative splicing allows several isoforms to exist for this protein.
DescriptionSFN Polyclonal Antibody . Unconjugated. Raised in: Rabbit.
FormulationPBS with 0.02% sodium azide, 50% glycerol, pH7.3.
SpecificityHuman, Mouse, Rat
IsotypeIgG
Uniprot IDP31947
PurificationAffinity Purified
ImmunogenA synthetic peptide corresponding to a sequence within amino acids 1-100 of human 14-3-3 sigma (NP_006133.1)
StorageShipped at 4°C. Upon receipt, store at -20°C. Avoid repeated freeze.
Alternative Names14-3-3 protein sigma
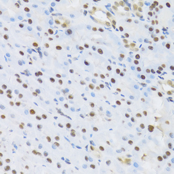
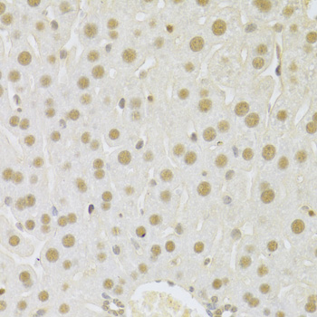
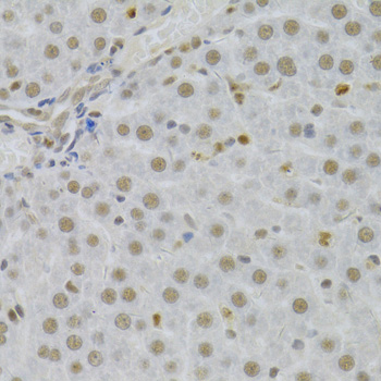
ApplicationWB, IHC