BackgroundPolycomb group (PcG) of proteins form the multiprotein complexes that are important for the transcription repression of various genes involved in development and cell proliferation. The protein encoded by this gene is one of the PcG proteins. It has been shown to interact with, and suppress the activity of, transcription factor CP2 (TFCP2/CP2). Studies of the mouse counterpart suggested the involvement of this gene in the specification of anterior-posterior axis, as well as in cell proliferation in early development. This protein was also found to interact with huntingtin interacting protein 2 (HIP2), an ubiquitin-conjugating enzyme, and possess ubiquitin ligase activity.
DescriptionRNF2 Polyclonal Antibody. Unconjugated. Raised in: Rabbit.
FormulationBuffer: PBS with 0.02% sodium azide, 50% glycerol, pH7.3.
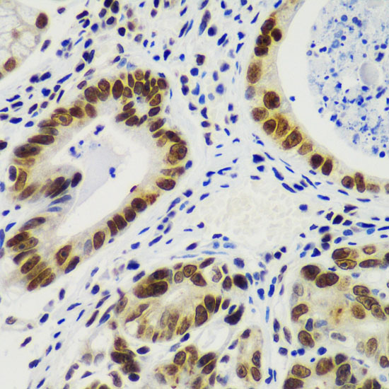
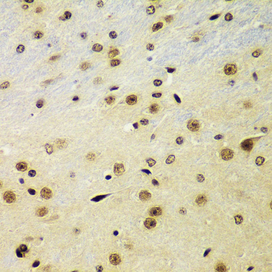
SpecificityHuman, Mouse, Rat
IsotypeIgG
Uniprot IDQ99496
PurificationAffinity Purification
ImmunogenRecombinant fusion protein containing a sequence corresponding to amino acids 1-336 of human RNF2 (NP_009143.1).
StorageShipped at 4°C. Upon receipt, store at -20°C. Avoid freeze / thaw cycles
Alternative NamesBAP1, DING, BAP-1, HIPI3, RING2, RING1B
ApplicationWB, IHC, IF, IP, ChIP; Recommended dilution: WB: 1:500-1:2000, IHC: 1:50-1:200, IF:1:50-1:200, IP:1:50-1:200, ChIP: 1:50-1:200