Background however NADH kinase activity is much weaker than the NAD(+) kinase activity and may not be relevant in vivo.
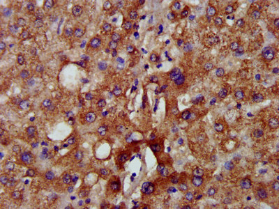
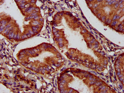
DescriptionNADK2 Polyclonal Antibody. Unconjugated. Raised in: Rabbit.
FormulationLiquid. 0.03% Proclin 300. 50% Glycerol, 0.01M PBS, pH 7.4.
SpecificityHuman, Rat, Mouse
IsotypeIgG
Uniprot IDQ4G0N4
PurificationProtein G purified
ImmunogenRecombinant Human NAD kinase 2, mitochondrial protein (16-156AA)
StorageShipped at 4°C. Upon receipt, store at -20°C (short-term) or -80°C (long-term). Avoid repeated freeze.
Alternative NamesNAD kinase 2, mitochondrial, Mitochondrial NAD kinase, NAD kinase domain-containing protein 1, mitochondrial, NADK2, C5orf33, MNADK, NADKD1
ApplicationELISA, WB, IHC; Recommended dilution: WB: 1:500-1:5000, IHC: 1:500-1:1000