BackgroundThe protein encoded by this gene is secreted and likely acts as an inhibitor of bone formation. The encoded protein is found in the organic matrix of bone and cartilage. Defects in this gene are a cause of Keutel syndrome (KS). Two transcript variants encoding different isoforms have been found for this gene.
DescriptionMGP Polyclonal Antibody. Unconjugated. Raised in: Rabbit.
FormulationBuffer: PBS with 0.05% proclin300, 50% glycerol, pH7.3.
SpecificityHuman, Mouse, Rat
IsotypeIgG
Uniprot IDP08493
PurificationAffinity Purification
ImmunogenRecombinant fusion protein containing a sequence corresponding to amino acids 20-103 of human MGP (NP_000891.2).
StorageShipped at 4°C. Upon receipt, store at -20°C. Avoid freeze / thaw cycles
Alternative NamesMGP; GIG36; MGLAP; NTI; matrix Gla protein
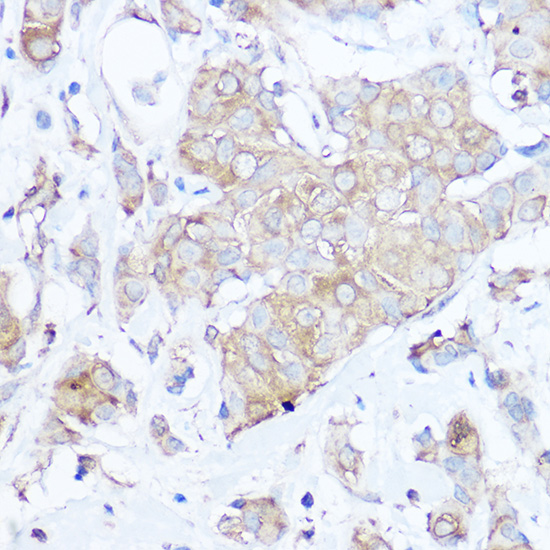
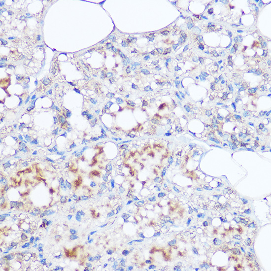
ApplicationELISA, WB, IHC, IF: Recommended dilution: WB 1:500 – 1:1000, IHC 1:50 – 1:200, IF 1:50 – 1:200