We recommend our top selling Histone H4 Modification Multiplex Assay Kit to quantify 10 different histone H4 modifications.
BackgroundHistones are basic nuclear proteins that are responsible for the nucleosome structure of the chromosomal fiber in eukaryotes. This structure consists of approximately 146 bp of DNA wrapped around a nucleosome, an octamer composed of pairs of each of the four core histones (H2A, H2B, H3, and H4). The chromatin fiber is further compacted through the interaction of a linker histone, H1, with the DNA between the nucleosomes to form higher order chromatin structures. This gene is intronless and encodes a member of the histone H4 family. Transcripts from this gene lack polyA tails; instead, they contain a palindromic termination element. This gene is found in a histone cluster on chromosome 1. This gene is one of four histone genes in the cluster that are duplicated; this record represents the centromeric copy .
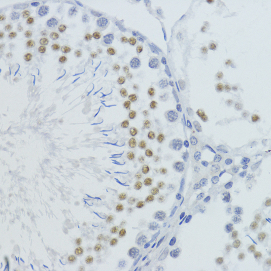
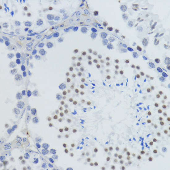
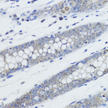
Description Histone H4K20me1 (H4K20 Monomethyl) Polyclonal Antibody. Unconjugated. Raised in: Rabbit.
Formulation Buffer: PBS with 0.09% sodium azide, 50% glycerol, pH7.3.
SpecificityBroad Range, Mouse, Rat, Human
IsotypeIgG
Uniprot IDP62805
PurificationAffinity Purified
ImmunogenA synthetic monomethylated peptide around K20 of human Histone H4 (NP_003529.1).
StorageShipped at 4°C. Store at -20°C. Avoid multiple freeze/thaw cycles.
Alternative NamesH4; H4/n; H4F2; H4FN; FO108; HIST2H4; H4K20me1 antibody; H4K20m1 antibodyApplicationWB, DB, IHC, IF/ICC, ELISA; Recommended dilution: WB 1:500 - 1:1000, DB 1:500 - 1:2000, IHC 1:50 - 1:200, IF/ICC 1:50 - 1:200, ELISA - recommended starting concentration is 1 μg/mL. Please optimize the concentration based on your specific assay requirements.