BackgroundEssential for Golgi fragmentation and reassembly during mitosis. Involved in transitional ER (tER) formation. Mediates ATP-dependent vesicle budding from tER to Golgi. Part of a complex exporting misfolded proteins from ER to cytoplasm for proteasomal degradation. Regulates spindle disassembly, nuclear envelope formation, and DNA damage response. Participates in ERAD, sterol-mediated HMGCR degradation, and pre-emptive quality control. Aids stalled replication forks and retrotranslocation of damaged mitochondrial proteins. Facilitates autophagy and negatively regulates type I interferon production via RIG-I interaction.
DescriptionVCP Recombinant Monoclonal Antibody [5H12]. Unconjugated. Raised in: HEK293F Cell.
FormulationBuffer: Rabbit IgG in phosphate buffered saline, pH 7.4, 150mM NaCl, 0.02% sodium azide and 50% glycerol.
SpecificityHuman, Rat
IsotypeRabbit IgG
Uniprot IDP55072
PurificationAffinity Chromatography
ImmunogenA synthesized peptide derived from human VCP
StorageUpon receipt, store at -20°C or -80°C. Avoid repeated freeze.
Alternative NamesTransitional endoplasmic reticulum ATPase (TER ATPase) (EC 3.6.4.6) (15S Mg(2+)-ATPase p97 subunit) (Valosin-containing protein) (VCP), VCP
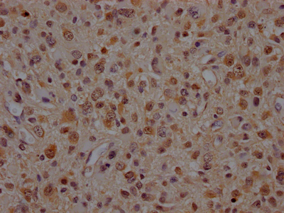
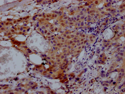
ApplicationELISA, WB, IHC, IF, IP; Recommended dilution: WB:1:500-1:5000, IHC:1:50-1:200, IF:1:20-1:200, IP:1:200-1:1000