BackgroundInvolved in the urea cycle of ureotelic animals where the enzyme plays an important role in removing excess ammonia from the cell.
DescriptionCPS1 Polyclonal Antibody. Unconjugated. Raised in: Rabbit.
FormulationLiquid. 0.03% Proclin 300, 50% Glycerol, 0.01M PBS, pH 7.4.
SpecificityHuman
IsotypeIgG
Uniprot IDP31327
Purification>95%, Protein G purified
ImmunogenRecombinant Human Carbamoyl-phosphate synthase [ammonia], mitochondrial protein (1361-1500AA)
StorageShipped at 4°C. Upon receipt, store at -20°C (short-term) or -80°C (long-term). Avoid repeated freeze.
Alternative NamesCarbamoyl-phosphate synthase [ammonia], mitochondrial, Carbamoyl-phosphate synthetase I, CPSase I, CPS1
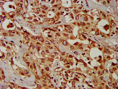
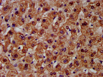
ApplicationELISA, WB, IHC, IF, IP; Recommended dilution: WB:1:500-1:5000, IHC:1:200-1:500, IF:1:50-1:200, IP:1:200-1:2000