BackgroundThe protein encoded by this gene is a member of the TNF receptor-associated factor (TRAF) protein family. TRAF proteins associate with and mediate the signal transduction from members of the TNF receptor superfamily. This protein directly interacts with TNF receptors and forms a heterodimeric complex with TRAF1. This protein is required for TNF-alpha-mediated activation of MAPK8/JNK and NF-kappaB. The protein complex formed by this protein and TRAF1 interacts with the inhibitor-of-apoptosis proteins (IAPs), and functions as a mediator of the anti-apoptotic signals from TNF receptors. The interaction of this protein with TRADD, a TNF receptor-associated apoptotic signal transducer, ensures the recruitment of IAPs for the direct inhibition of caspase activation. BIRC2/c-IAP1, an apoptosis inhibitor possessing ubiquitin ligase activity, can ubiquitinate and induce the degradation of this protein and thus potentiate TNF-induced apoptosis. Multiple alternatively spliced transcript variants have been found for this gene, but the biological validity of only one transcript has been determined.
DescriptionTRAF2 Polyclonal Antibody. Unconjugated. Raised in: Rabbit.
FormulationBuffer: PBS with 0.02% sodium azide, 50% glycerol, pH7.3.
SpecificityHuman, Mouse, Rat
IsotypeIgG
Uniprot IDQ12933
PurificationAffinity Purified
ImmunogenRecombinant fusion protein containing a sequence corresponding to amino acids 1-300 of human TRAF2 (NP_066961.2).
StorageShipped at 4°C. Store at -20°C. Avoid freeze / thaw cycles.
Alternative NamesMGC:45012; TRAP; TRAP3; TRAF2
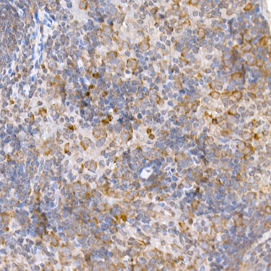
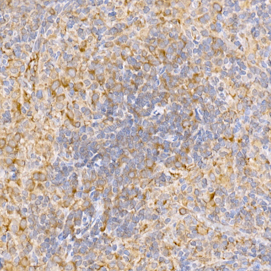
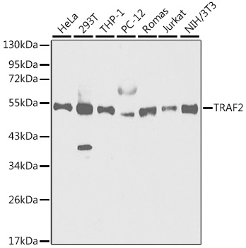
ApplicationWB, IHC, IP; Recommended dilution: WB 1:500 - 1:2000, IHC 1:50 - 1:200, IP 1:50 - 1:100