BackgroundPlasma membrane-associated small GTPase which cycles between an active GTP-bound and an inactive GDP-bound state. Causes the formation of thin, actin-rich surface projections called filopodia. Functions cooperatively with CDC42 and Rac to generate additional structures, increasing the diversity of actin-based morphology.
DescriptionRHOF Polyclonal Antibody. Unconjugated. Raised in: Rabbit.
FormulationLiquid. 0.03% Proclin 300. 50% Glycerol, 0.01M PBS, pH 7.4.
SpecificityHuman, Mouse
IsotypeIgG
Uniprot IDQ9HBH0
PurificationProtein G purified
ImmunogenRecombinant Human Rho-related GTP-binding protein RhoF protein (1-170AA)
StorageShipped at 4°C. Upon delivery aliquot and store at -20°C (short-term) or -80°C (long-term). Avoid repeated freeze.
Alternative NamesRho-related GTP-binding protein RhoF, Rho family GTPase Rif, Rho in filopodia, RHOF, ARHF, RIF
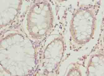
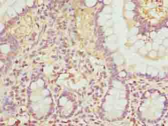
ApplicationELISA, WB, IHC; Recommended dilution: WB:1:1000-1:5000, IHC:1:20-1:200