BackgroundThe protein encoded by this gene is a member of the protein tyrosine phosphatase (PTP) family. PTPs are known to be signaling molecules that regulate a variety of cellular processes including cell growth, differentiation, mitosis, and oncogenic transformation. This PTP contains an extracellular domain, a single transmembrane segment and two tandem intracytoplasmic catalytic domains, and thus is classified as a receptor type PTP. This PTP has been shown to be an essential regulator of T- and B-cell antigen receptor signaling. It functions through either direct interaction with components of the antigen receptor complexes, or by activating various Src family kinases required for the antigen receptor signaling. This PTP also suppresses JAK kinases, and thus functions as a regulator of cytokine receptor signaling. Alternatively spliced transcripts variants of this gene, which encode distinct isoforms, have been reported.
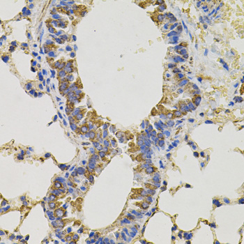
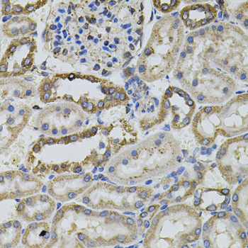
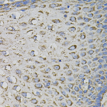
DescriptionPTPRC Polyclonal Antibody. Unconjugated. Raised in: Rabbit.
FormulationBuffer: PBS with 0.02% sodium azide, 50% glycerol, pH7.3.
SpecificityHuman, Mouse, Rat
IsotypeIgG
Uniprot IDP08575
PurificationAffinity Purification
ImmunogenA synthetic peptide corresponding to a sequence within amino acids 890-990 of human PTPRC (NP_002829.2).
StorageShipped at 4°C. Upon receipt, store at -20°C. Avoid freeze / thaw cycles
Alternative NamesPTPRC; B220; CD45; CD45R; GP180; L-CA; LCA; LY5; T200; receptor-type tyrosine-protein phosphatase C
ApplicationWB, IHC, IF; Recommended dilution: WB: 1:500-1:2000, IHC: 1:50-1:200, IF:1:50-1:200