BackgroundBifunctional enzyme that catalyzes 2 sequential steps in C-terminal alpha-amidation of peptides. The monooxygenase part produces an unstable peptidyl(2-hydroxyglycine) intermediate that is dismutated to glyoxylate and the corresponding desglycine peptide amide by the lyase part. C-terminal amidation of peptides such as neuropeptides is essential for full biological activity.
DescriptionPAM Polyclonal Antibody. Unconjugated. Raised in: Rabbit.
FormulationLiquid. 0.03% Proclin 300, 50% Glycerol, 0.01M PBS, pH 7.4.
SpecificityHuman
IsotypeIgG
Uniprot IDP19021
Purification>95%, Protein G purified
ImmunogenRecombinant Human Peptidyl-glycine alpha-amidating monooxygenase protein (338-497AA)
StorageShipped at 4°C. Upon receipt, store at -20°C (short-term) or -80°C (long-term). Avoid repeated freeze.
Alternative NamesPeptidyl-glycine alpha-amidating monooxygenase, PAM, Peptidylglycine alpha-hydroxylating monooxygenase, PHMPeptidyl-alpha-hydroxyglycine alpha-amidating lyase, Peptidylamidoglycolate lyase, PAL, PAM
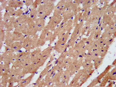
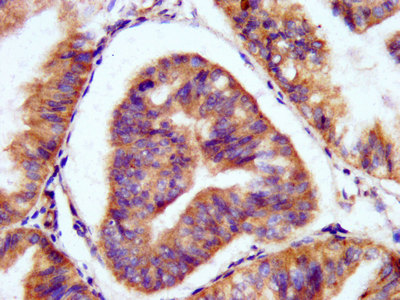
ApplicationELISA, WB, IHC, IF; Recommended dilution: WB:1:500-1:5000, IHC:1:200-1:500, IF:1:50-1:200