DescriptionOTUB1 Polyclonal Antibody. Unconjugated. Raised in: Rabbit.
FormulationLiquid. 0.03% Proclin 300, 50% Glycerol, 0.01M PBS, PH 7.4.
SpecificityHuman
IsotypeIgG
Uniprot IDQ96FW1
Purification>95%, Protein G purified
ImmunogenRecombinant Human Ubiquitin thioesterase OTUB1 protein (2-201AA)
StorageShipped at 4°C. Upon delivery aliquot and store at -20°C (short-term) or -80°C (long-term). Avoid repeated freeze.
Alternative NamesHSPC263, OTB1, OTU1, OTUB1, Deubiquitinating enzyme OTUB1, OTU domain-containing ubiquitin aldehyde-binding protein 1, Otubain-1, hOTU1, Ubiquitin-specific-processing protease OTUB1
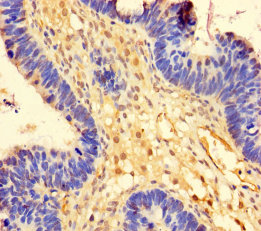
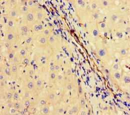
ApplicationELISA, WB, IHC; Recommended dilution: WB:1:1000-1:5000, IHC:1:20-1:200