BackgroundMajor role in the synthesis of nucleoside triphosphates other than ATP. The ATP gamma phosphate is transferred to the NDP beta phosphate via a ping-pong mechanism, using a phosphorylated active-site intermediate.
DescriptionNME7 Polyclonal Antibody. Unconjugated. Raised in: Rabbit.
Formulation0.03% Proclin 300, 50% Glycerol, 0.01M PBS, PH 7.4.
SpecificityHuman, Mouse
IsotypeIgG
Uniprot IDQ9Y5B8
PurificationProtein G purified
ImmunogenRecombinant Human Nucleoside diphosphate kinase 7 protein (1-150AA)
StorageShipped at 4°C. Upon delivery aliquot and store at -20°C (short-term) or -80°C (long-term). Avoid repeated freeze.
Alternative NamesNucleoside diphosphate kinase 7 (EC:2.7.4.6), NDK 7, NDP kinase 7, NME7, nm23-H7
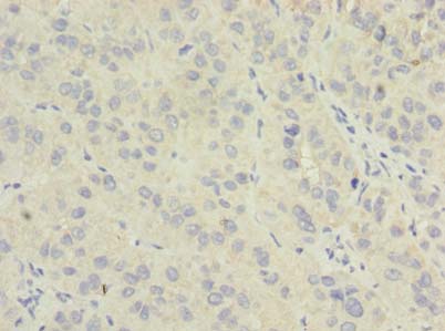
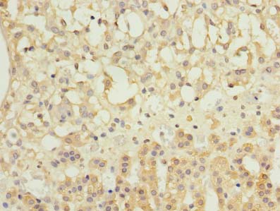
ApplicationELISA, WB, IHC; Recommended dilution: WB:1:500-1:2000, IHC:1:20-1:200