BackgroundProduces N-acetylneuraminic acid (Neu5Ac) and 2-keto-3-deoxy-D-glycero-D-galacto-nononic acid (KDN). Can also use N-acetylmannosamine 6-phosphate and mannose 6-phosphate as substrates to generate phosphorylated forms of Neu5Ac and KDN, respectively.
DescriptionNANS Polyclonal Antibody. Unconjugated. Raised in: Rabbit.
Formulation0.03% Proclin 300. 50% Glycerol, 0.01M PBS, pH 7.4.
SpecificityHuman
IsotypeIgG
Uniprot IDQ9NR45
PurificationProtein G purified
ImmunogenRecombinant Human Sialic acid synthase protein (132-259AA)
StorageShipped at 4°C. Upon receipt, store at -20°C (short-term) or -80°C (long-term). Avoid repeated freeze.
Alternative NamesSialic acid synthase, N-acetylneuraminate synthase, N-acetylneuraminic acid phosphate synthase, N-acetylneuraminic acid synthase, N-acetylneuraminate-9-phosphate synthase, NANS, SAS
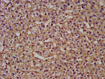
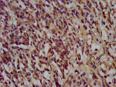
ApplicationELISA, WB, IHC, IF; Recommended dilution: WB:1:500-1:5000, IHC:1:200-1:500, IF:1:50-1:200