BackgroundMay play a role in RNA metabolism in both nuclei and mitochondria. In the nucleus binds to HNRPA1-associated poly(A) mRNAs and is part of nmRNP complexes at late stages of mRNA maturation which are possibly associated with nuclear mRNA export. May bind mature mRNA in the nucleus outer membrane. In mitochondria binds to poly(A) mRNA. Plays a role in translation or stability of mitochondrially encoded cytochrome c oxidase (COX) subunits. May be involved in transcription regulation. Cooperates with PPARGC1A to regulate certain mitochondrially encoded genes and gluconeogenic genes and may regulate docking of PPARGC1A to transcription factors. Seems to be involved in the transcription regulation of the multidrug-related genes MDR1 and MVP. Part of a nuclear factor that binds to the invMED1 element of MDR1 and MVP gene promoters. Binds single-stranded DNA.
DescriptionLRPPRC Polyclonal Antibody. Unconjugated. Raised in: Rabbit.
FormulationLiquid. 0.03% Proclin 300, 50% Glycerol, 0.01M PBS, pH 7.4.
SpecificityHuman
IsotypeIgG
Uniprot IDP42704
Purification>95%, Protein G purified
ImmunogenRecombinant Human Leucine-rich PPR motif-containing protein, mitochondrial protein (901-1036AA)
StorageShipped at 4°C. Upon receipt, store at -20°C (short-term) or -80°C (long-term). Avoid repeated freeze.
Alternative NamesLeucine-rich PPR motif-containing protein, mitochondrial, 130 kDa leucine-rich protein, LRP 130, GP130, LRPPRC, LRP130
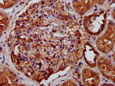
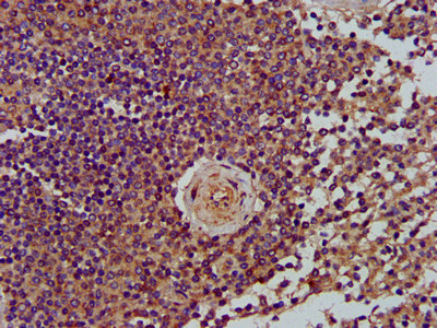
ApplicationELISA, WB, IHC, IF, IP; Recommended dilution: WB:1:500-1:5000, IHC:1:200-1:500, IF:1:50-1:200, IP:1:200-1:2000