BackgroundThe protein encoded by this gene is similar to insulin in function and structure and is a member of a family of proteins involved in mediating growth and development. The encoded protein is processed from a precursor, bound by a specific receptor, and secreted. Defects in this gene are a cause of insulin-like growth factor I deficiency. Alternative splicing results in multiple transcript variants encoding different isoforms that may undergo similar processing to generate mature protein.
DescriptionIGF1 Polyclonal Antibody. Unconjugated. Raised in: Rabbit.
FormulationBuffer: PBS with 0.09% sodium azide, 50% glycerol, pH7.3.
SpecificityHuman, Mouse, Rat
IsotypeIgG
Uniprot IDP05019
PurificationAffinity Purification
ImmunogenA synthetic peptide corresponding to a sequence within amino acids 50-150 of human IGF1 (NP_000609.1).
StorageShipped at 4°C. Upon receipt, store at -20°C. Avoid freeze / thaw cycles
Alternative NamesIGF1; IGF-I; IGFI; MGF; insulin-like growth factor I
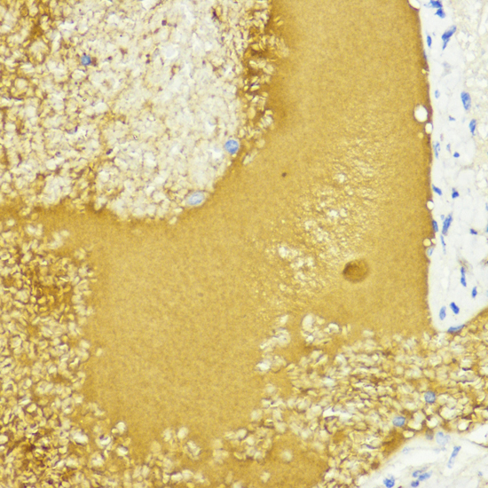
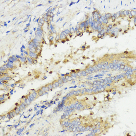
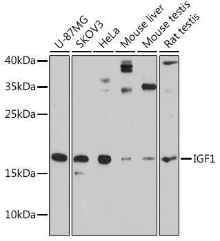
ApplicationWB, IHC, ELISA; Recommended dilution: WB 1:1500 - 1:3000, IHC 1:50 - 1:100, ELISA - recommended starting concentration is 1 μg/mL. Please optimize the concentration based on your specific assay requirements.