BackgroundGolgi apparatus, membrane, transferase activity, transferring glycosyl groups, polysaccharide biosynthetic process
DescriptionGLT8D1 Polyclonal Antibody. Unconjugated. Raised in: Rabbit.
Formulation0.03% Proclin 300, 50% Glycerol, 0.01M PBS, PH 7.4.
SpecificityHuman, Mouse
IsotypeIgG
Uniprot IDQ68CQ7
PurificationProtein G purified
ImmunogenRecombinant Human Glycosyltransferase 8 domain-containing protein 1 protein (33-332AA)
StorageShipped at 4°C. Upon delivery aliquot and store at -20°C (short-term) or -80°C (long-term). Avoid repeated freeze.
Alternative NamesGlycosyltransferase 8 domain-containing protein 1, GLT8D1, GALA4A, AD-017, MSTP137, UNQ572/PRO1134
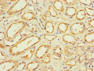
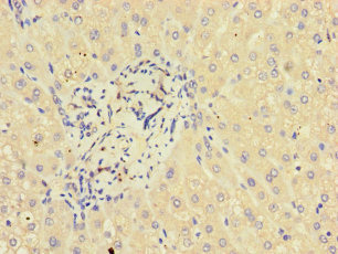
ApplicationELISA, WB, IHC, IF; Recommended dilution: WB:1:500-1:2000, IHC:1:20-1:200, IF:1:50-1:200