BackgroundOne gap junction consists of a cluster of closely packed pairs of transmembrane channels, the connexons, through which materials of low MW diffuse from one cell to a neighboring cell.
DescriptionGJD2 Polyclonal Antibody. Unconjugated. Raised in: Rabbit.
FormulationLiquid. 0.03% Proclin 300, 50% Glycerol, 0.01M PBS, pH 7.4.
SpecificityHuman
IsotypeIgG
Uniprot IDQ9UKL4
Purification>95%, Protein G purified
ImmunogenRecombinant Human Gap junction delta-2 protein (99-197AA)
StorageShipped at 4°C. Upon receipt, store at -20°C (short-term) or -80°C (long-term). Avoid repeated freeze.
Alternative NamesGap junction delta-2 protein, Connexin-36, Cx36, Gap junction alpha-9 protein, GJD2, GJA9
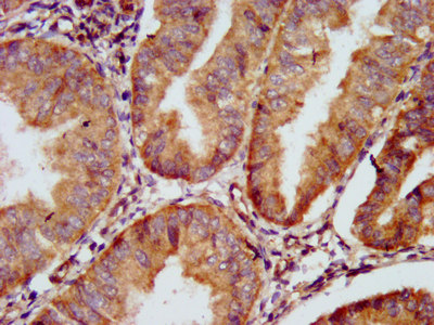
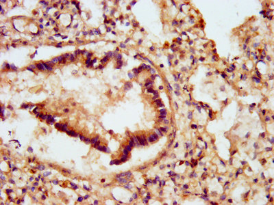
ApplicationELISA, WB, IHC, IF; Recommended dilution: WB:1:500-1:5000, IHC:1:500-1:1000, IF:1:50-1:200