BackgroundThis gene encodes a member of the vascular endothelial growth factor receptor (VEGFR) family. VEGFR family members are receptor tyrosine kinases (RTKs) which contain an extracellular ligand-binding region with seven immunoglobulin (Ig)-like domains, a transmembrane segment, and a tyrosine kinase (TK) domain within the cytoplasmic domain. This protein binds to VEGFR-A, VEGFR-B and placental growth factor and plays an important role in angiogenesis and vasculogenesis. Expression of this receptor is found in vascular endothelial cells, placental trophoblast cells and peripheral blood monocytes. Multiple transcript variants encoding different isoforms have been found for this gene. Isoforms include a full-length transmembrane receptor isoform and shortened, soluble isoforms. The soluble isoforms are associated with the onset of pre-eclampsia.
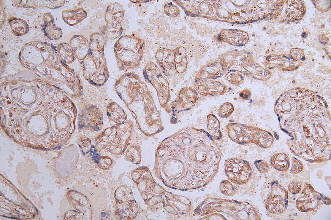
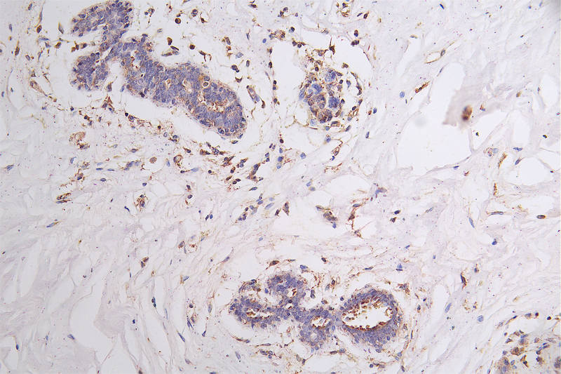
DescriptionFLT1 Recombinant Monoclonal Antibody [40H4]. Unconjugated. Raised in: HEK293F Cell.
FormulationBuffer: Rabbit IgG in phosphate buffered saline, pH 7.4, 150mM NaCl, 0.02% sodium azide and 50% glycerol.
SpecificityHuman, Mouse
IsotypeRabbit IgG
Uniprot IDP17948
PurificationAffinity Chromatography
ImmunogenA synthesized peptide derived from Human FLT1
StorageUpon receipt, store at -20°C or -80°C. Avoid repeated freeze.
Alternative NamesVascular endothelial growth factor receptor 1 (VEGFR-1) (EC 2.7.10.1) (Fms-like tyrosine kinase 1) (FLT-1) (Tyrosine-protein kinase FRT) (Tyrosine-protein kinase receptor FLT) (FLT) (Vascular permeability factor receptor), FLT1, FLT FRT VEGFR1
ApplicationELISA, WB, IHC, FC; Recommended dilution: WB:1:500-1:2000, IHC:1:50-1:200, FC:1:50-1:200