BackgroundFunctions as guanine nucleotide exchange factor for RAC1. May play a role in semaphorin signaling. Plays a role in the assembly and disassembly of dendritic filopodia, the formation of dendritic spines, regulation of dendrite length and ultimately the formation of synapses.
DescriptionFARP1 Polyclonal Antibody. Unconjugated. Raised in: Rabbit.
Formulation0.03% Proclin 300, 50% Glycerol, 0.01M PBS, PH 7.4.
SpecificityHuman
IsotypeIgG
Uniprot IDQ9Y4F1
PurificationProtein G purified
ImmunogenRecombinant Human FERM, ARHGEF and pleckstrin domain-containing protein 1 protein (1-300AA)
StorageShipped at 4°C. Upon delivery aliquot and store at -20°C (short-term) or -80°C (long-term). Avoid repeated freeze.
Alternative NamesFERM, RhoGEF and pleckstrin domain-containing protein 1, Chondrocyte-derived ezrin-like protein, Pleckstrin homology domain-containing family C member 2, PH domain-containing family C member 2, FARP1, CDEP, PLEKHC2
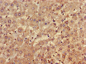
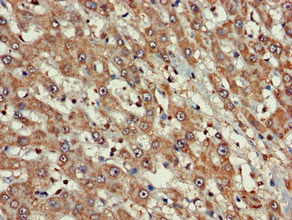
ApplicationELISA, WB, IHC, IF; Recommended dilution: WB:1:500-1:5000, IHC:1:20-1:200, IF:1:50-1:200