BackgroundCo-chaperone for HSPA8/Hsc70. Stimulates ATP hydrolysis, but not the folding of unfolded proteins mediated by HSPA1A (in vitro). Plays a role in protein transport into mitochondria via its role as co-chaperone. Functions as co-chaperone for HSPA1B and negatively regulates the translocation of BAX from the cytosol to mitochondria in response to cellular stress, thereby protecting cells against apoptosis. Promotes apoptosis in response to cellular stress mediated by exposure to anisomycin or UV.
DescriptionDNAJA1 Recombinant Monoclonal Antibody [23C6]. Unconjugated. Raised in: HEK293F Cell.
FormulationBuffer: Rabbit IgG in phosphate buffered saline, pH 7.4, 150mM NaCl, 0.02% sodium azide and 50% glycerol.
SpecificityHuman
IsotypeRabbit IgG
Uniprot IDP31689
PurificationAffinity Chromatography
ImmunogenA synthesized peptide derived from human DNAJA1
StorageUpon receipt, store at -20°C or -80°C. Avoid repeated freeze.
Alternative NamesDnaJ homolog subfamily A member 1 (DnaJ protein homolog 2) (HSDJ) (Heat shock 40 kDa protein 4) (Heat shock protein J2) (HSJ-2) (Human DnaJ protein 2) (hDj-2), DNAJA1, DNAJ2 HDJ2 HSJ2 HSPF4
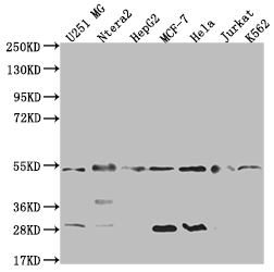
ApplicationELISA, WB, IF, FC; Recommended dilution: WB:1:500-1:2000, IF:1:50-1:200, FC:1:50-1:200